причины, признаки, лечение, профилактика в домашних условиях
Повреждения зрительного аппарата и полная потеря зрения значительно ухудшают качество жизни. К сожалению, на сегодняшний день слепота встречается не так уж и редко. Согласно статистике ВОЗ, в мире около 2,2 миллиардов человек имеют серьезные проблемы со зрением. Разберемся, что может вызвать слепоту, и в каких случаях лечение будет эффективным.
Что такое слепота
По разным причинам у человека может ухудшаться зрение, вплоть до полной его потери, которое и называется слепотой.
Слепота может быть:
- Абсолютная (врожденная или приобретенная), когда острота зрения равна нулю, и человек не видит даже очертаний предметов, не различает свет и темноту.
- Частичная — когда у человека сохраняется светоощущение, но поле его зрения составляет не более 10%.
- Цветовая – в этом случае нарушено цветовое восприятие (чаще всего способность воспринимать красный цвет).
Существует и другая классификация, согласно которой слепота бывает:
- обратимая – то есть существует лечение, способное восстановить зрение;
- необратимая — утраченное зрение вернуть невозможно.

Что нужно знать о слепоте
| Практическая или абсолютная слепота | острота зрения ниже 3/60 (0,05) |
| При наилучшей коррекции | <0,05 |
| Поле зрения | <10″ |
| Группа инвалидности | I |
Причины слепоты у человека
Спровоцировать утрату зрения в течение жизни могут различные факторы: инфекции, травмы, катаракта, глаукома и многие другие1.
Врожденная слепота у человека возникает из-за патологий строения глаза, которые развились в период внутриутробного формирования плода. Например, когда необратимые изменения коснулись сетчатки глаза.
В остальных случаях причины слепоты у человека кроются в целом списке заболеваний. Чаще всего причиной приобретенной слепоты является глаукома. Из-за нарушения оттока жидкости повышается внутриглазное давление, отсюда возникают повреждения зрительного нерва. На втором месте среди причин слепоты – травмы глаза и трахома (хроническое инфекционное заболевание глаз, которое вызывают хламидии)..jpg)
К слепоте может привести и катаракта – заболевание, вызывающее помутнение хрусталика глаза. Катаракта поддается лечению, и в большинстве случаев зрение пациенту можно вернуть2.
Еще одна опасная для зрения патология – это отслойка сетчатки от нижележащих оболочек глазного яблока. Ситуация обратимая, но лишь с помощью экстренного оперативного вмешательства. Чем раньше будет проведена операция по устранению разрыва сетчатки, тем выше шансы сохранить зрение.
Слепоту у человека может вызвать помутнение роговицы и недостаток кровоснабжения на фоне сахарного диабета и других заболеваний. К потере зрения могут привести опухоли зрительных структур и головного мозга.
Признаки слепоты у человека
Самые характерные симптомы слепоты – сужение поля зрения или полное его отсутствие на одном или обоих глазах. Приобретенная слепота может быть внезапной, например, в результате травмы, кровоизлияния в головной мозг или сетчатку. Но чаще процесс утраты зрения развивается постепенно.
- при отслойке сетчатки – периодические вспышки света перед глазами, утрата периферического зрения;
- при инсульте – резкое ухудшение зрения, которое часто сопровождается тошнотой, головной болью, потерей чувствительности с одной стороны тела;
- при закрытоугольной глаукоме человека беспокоит сильная боль и покраснение в глазу, головная боль;
- при катаракте появляется пелена перед глазами, становится трудно различать буквы при чтении;
- при язве роговицы на слизистой появляется сероватое пятно, возникает слезотечение, ощущение инородного тела в глазу.
Любой дискомфорт в области глаз требует консультации офтальмолога. Многие заболевания зрительных структур хорошо поддаются лечению на ранней стадии, что позволит человеку избежать полной утраты зрения.
Диагностика слепоты у человека
Первичная диагностика заключается в проверке остроты зрения каждого глаза. Процедура называется визометрией и занимает всего несколько минут.
В ходе исследования врачу потребуются специальные таблицы с буквами, цифрами и рисунками. Пациенту, который находится на определенном расстоянии от таблички, необходимо прочесть строки, на которые указывает врач. Каждый глаз исследуют по очереди, закрывая на момент исследования второй.
Таблицы бывают разные: Снеллена (буквы латинского алфавита), Сивцева-Головина (буквы русского алфавита), Орловой (с рисунками) и Ландольта (фигуры из полуколец).
Фото: wikimedia.orgФото: wikimedia.orgФото: wikimedia.orgК другим методам диагностики относится проверка зрения с помощью рефрактометра. Это позволяет определить, насколько четко человек видит удаленные предметы.
Следующий метод исследования глаза, который подходит для диагностики глаукомы и катаракты, – это щелевая лампа. Данный офтальмологический прибор используется с целью детального осмотра структуры глаз, помогает выявить малейшие патологии роговицы3.
Обнаружить проблемы со зрением помогает и компьютерная периметрия.
Этот метод офтальмологической диагностики позволяет врачу оценить границы поля зрения пациента, выявить офтальмологические и неврологические заболевания, такие как глаукома, отслойка сетчатки, повреждение зрительного нерва.
Лечение слепоты у человека
В зависимости от диагноза лечение слепоты у человека может быть консервативным и хирургическим.
Если заболевание выявлено на ранней стадии, то у пациентов с катарактой шансы на восстановление зрения высокие. В этом случае необходимо своевременно провести операцию по замене хрусталика.
В случае отслойки сетчатки эффективно экстренное проведение фиксации сетчатой оболочки к сосудистой.
Пациентам с глаукомой помогают лекарственные препараты, которые снижают внутриглазное давление. В сложных случаях показана операция.
Если поврежден зрительный нерв, вернуть зрение не получится, а пациенту нужно помочь адаптироваться к незрячему образу жизни.
Безусловно, лечение в каждом случае индивидуальное и проводится под строгим контролем специалиста.
Профилактика слепоты у человека в домашних условиях
Главное правило профилактики — зрение нужно беречь. Избегать работы при плохом освещении и перенапряжения, регулярно давать глазам отдых и делать специальную гимнастику. Комплекс простых упражнений с морганием, фокусом на ближних и дальних предметах могут делать дети и взрослые. Это простой метод профилактики слепоты у человека, доступный каждому.
Тем, кто работает с химикатами, или есть риск попадания инородных предметов в глаза, важно соблюдать правила безопасной работы и использовать защитные очки.
Пожилым пациентам необходимо регулярно проходить профилактический осмотр у окулиста, чтобы на ранней стадии обнаружить глаукому и катаракту и начать лечение. Впрочем, в любом возрасте лучше ежегодно проходить осмотр в профильной глазной клинике с использованием нескольких способов диагностики.
Популярные вопросы и ответы
На популярные вопросы, касающиеся слепоты и ее лечения, отвечает к.м.н.
, врач-офтальмолог со стажем более 20 лет Светлана Чистякова.
При каком минусе ставится диагноз слепота?
— Максимальная близорукость может достигать -40 диоптрий, что означает полную слепоту. Но значительное ухудшение зрения наблюдается уже при -6 диоптриях. В этом случае человек видит предметы только на очень близком расстоянии, а все остальное воспринимает как размытое пятно.
С какого минуса еще можно восстановить зрение?
— Возможность избавления от близорукости зависит от ее степени (малая, средняя, высокая), возраста и состояния здоровья пациента, поэтому каждый случай индивидуален. Современные методы лазерной коррекции зрения способны восстановить зрение и при высокой степени миопии.
Можно ли вылечить полную слепоту?
— Полная слепота может быть обратимой, если не связана с повреждением зрительного нерва. Коррекции слепота при большинстве диагнозов поддается с помощью операций и медикаментозного лечения.
Источники:
- Слепота, основные причины.
Беликова Е.И. 2022. https://belikova.ru/encyclopedia/simptomy_bolezney/slepota/ - Слепота от катаракты устранима. Акулов С.Н. Главный врач Юга России. 2008 https://cyberleninka.ru/article/n/slepota-ot-katarakty-ustranima
- Методы ранней диагностики и профилактики инвалидизирующих осложнений диабетической ретинопатии при сочетанном течении сахарного диабета 2-го типа и гипертонической болезни. Мошетова Л.К., Воробьева И.В., Гигинеишвили Д.Н., Нешкова Е.А. Медико-социальная экспертиза и реабилитация. 2015. https://cyberleninka.ru/article/n/metody-ranney-diagnostiki-i-profilaktiki-invalidiziruyuschih-oslozhneniy-diabetichskoy-retinopatii-pri-sochetannom-techenii
ИЗЛЕЧИТЬСЯ ОТ СЛЕПОТЫ | Наука и жизнь
12 октября 2006 года в Международный день защиты зрения в Российском информационном агентстве «Новости» состоялась пресс-конференция, посвященная профилактике и лечению заболеваний, грозящих людям слепотой. Речь шла о том, что сейчас в мире серьезными офтальмологическими заболеваниями страдают более 180 млн человек.
Из них около 40 млн — слепые. Это огромная цифра. Между тем в 75% случаев слепоту вызывают болезни, которые при своевременном врачебном вмешательстве вполне можно вылечить.
Член-корреспондент РАМН, доктор медицинских наук директор ГУ НИИ глазных болезней РАМН, профессор Сергей Эдуардович Аветисов и заведующий кафедрой офтальмологии Санкт-Петербургского медицинского университета имени академика И. П. Павлова, доктор медицинских наук, профессор Юрий Сергеевич Астахов рассказали на пресс-конференции о хирургическом лечении катаракты.
Наука и жизнь // Иллюстрации
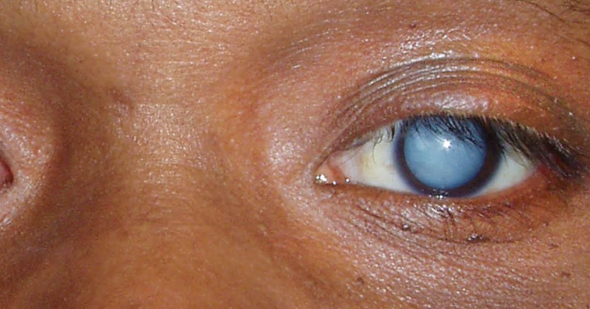
На глазу больного катарактой заметно пятно, вызванное помутнением вещества хрусталика. Именно поэтому глаза пожилых людей выглядят затуманенными.
Микроскопическое строение хрусталика. Хрусталик — прозрачное двояковыпуклое тело, состоящее из белков и воды. Со всех сторон он покрыт тонкой эластичной оболочкой — капсулой.
Директор ГУ НИИ глазных болезней РАМН профессор С. Э. Аветисов и заведующий кафедрой офтальмологии Санкт-Петербургского медицинского университета им.
академика И. П. Павлова профессор Ю. С. Астахов.
Самый распространенный диагностический метод исследования глаза — с помощью щелевой лампы.
Изображение продольного среза хрусталика больного катарактой. Снимок получен с помощью щелевой лампы.
Строение глаза. Внешняя оболочка глазного яблока называется склерой.
При традиционной хирургии катаракты мутный хрусталик удаляют механическим путем через разрез длиной 15 мм.
При использовании новых высокотехнологичных методов мутный хрусталик дробят ультразвуком или вымывают струей жидкости через небольшой прокол длиной 3 мм.
‹
›
Открыть в полном размере
У врачей-офтальмологов есть понятия устранимой и неустранимой слепоты. В случае неустранимой слепоты никакие лечебные мероприятия не помогут восстановить частично или полностью утраченное зрение. Но огромному числу больных со сниженным зрением медицинская помощь могла бы принести пользу.
Понятие «устранимая слепота», прежде всего, касается катаракты.
Катаракта — помутнение хрусталика, вызванное постепенным возрастным изменением состава белка хрусталика. Медицинский термин «катаракта» произошел от греческого слова «katarrhaktes» — «водопад». В древности медики считали, что с возрастом в голове накапливается большое количество мутной жидкости, которая, истекая, застилает старикам глаза. У больных катарактой острота зрения порой снижена настолько, что они полностью теряют трудоспособность.
Катаракта — одно из самых распространенных заболеваний зрения. Согласно данным общемировой статистики, средняя частота возрастной катаракты составляет 33 случая на 1000 человек, причем эта цифра существенно увеличивается с возрастом. В 70-80 лет катарактой страдают 260 мужчин и 460 женщин на 1000 человек, а после 80 лет — практически каждый. Но и среди врожденных патологий зрения катаракта занимает одну из лидирующих позиций.
Установить диагноз катаракты значительно легче, чем, скажем, глаукомы. Для этого бывает достаточно оборудования, которое есть в обычных поликлиниках.
В здоровом глазу свет проходит через прозрачную роговицу и хрусталик, фокусируясь на объектах, находящихся на различных расстояниях. Хрусталик имеет форму двояковыпуклой линзы с преломляющей силой около 20 диоптрий. Снаружи хрусталик окружен капсулой. Изображение объектов проецируется на внутренний слой глазного яблока — сетчатую оболочку, состоящую из нервной ткани и фоторецепторов (колбочек и палочек). Развитие катаракты приводит к «размыванию» изображения на сетчатке.
Катаракта, так же как глаукома и макулодистрофия (неизлечимое заболевание, связанное с возрастными склеротическими изменениями центральной области сетчатки, называемой макулой), — в первую очередь связана с возрастом. Такова статистика во всем мире вне зависимости от уровня жизни и других причин. Ни химический, ни радиационный факторы не являются доминирующими в причинах возникновения этого заболевания. К группе риска относятся больные диабетом — у них катаракта развивается и в молодом возрасте. Катаракта в детском возрасте — обычно врожденная. Число больных детей невелико, но последствия ранней катаракты у них бывают очень серьезными.
Бытует представление о том, что катарактой чаще страдают городские жители. Это не так. Заболевание в равной степени распространено и в сельской, и в городской местности. А вот выявляемость заболевания в городах выше потому, что у горожан больше возможностей обратиться к врачу и установить диагноз.
Многие считают, что катаракта и глаукома прогрессируют из-за злоупотребления компьютером. И это не так. Термин «зрительный компьютерный синдром» офтальмологи действительно употребляют достаточно часто. Но он подразумевает в основном симптомы зрительного дискомфорта. При длительной работе за дисплеем может начать формироваться близорукость, а при дальнозоркости иногда появляются симптомы утомления. Часто возникают некоторые заболевания придаточного аппарата глаза, например воспаление краев век, синдром сухого глаза, когда начинает ощущаться нехватка слезы. Это может привести к заболеваниям век, конъюнктивы, роговицы. Если человек, который носит контактные линзы, длительно работает на компьютере, то у него появляются симптомы непереносимости линз. Но от работы на компьютере катаракта и глаукома возникнуть не могут.
Несмотря на то что катаракта — болезнь пожилых, в последнее время по неясным пока причинам возрастной порог наступления катаракты снижается, она «молодеет».
Поэтому по достижении 40 лет всем необходимо пройти обследование у офтальмолога — и чтобы определить остроту зрения для оптимальной коррекции, и чтобы не пропустить начало возрастных глазных заболеваний.
Больным с возрастными изменениями зрения рекомендуется принимать препараты и биологически активные добавки. Имеются в виду препараты, содержащие лютеин, витаминные комплексы. Их можно использовать в качестве профилактических средств от макулодистрофии и катаракты. Но хотя лекарственные препараты могут несколько замедлить созревание катаракты, методов ее консервативного лечения не существует. Единственный способ предотвратить наступление слепоты — хирургический.
Для восстановления утраченного зрения удаляют мутный хрусталик и заменяют его на имплантат из эластичного полимерного материала. Во время проведения операции (ее медицинское наименование —
экстракапсулярная экстракция катаракты) ядро хрусталика удаляют так, что задняя капсула хрусталика остается на месте.
Долгое время считалось, что операцию можно делать только в том случае, если катаракта созрела, то есть через несколько лет после появления первых симптомов. К сожалению, до сих пор некоторые поликлинические врачи продолжают придерживаться такого мнения. В результате люди, страдающие катарактой, долгие годы испытывают значительные неудобства, а некоторые из них за время ожидания операции теряют трудоспособность.
Оперировать зрелую катаракту действительно проще. Достаточно вскрыть хрусталик, и его содержимое вытечет без дополнительных манипуляций хирурга, что немаловажно при отсутствии высокотехнологичной аппаратуры. Но удаление зрелой катаракты связано с целым рядом неудобств. Во-первых, при зрелой катаракте ядро хрусталика становится плотнее, что мешает хирургу видеть капсулу во время операции. Кроме того, если катаракта уже созрела, а тем более перезрела, страдает сама капсула. В ней происходят дистрофические изменения, и прочность ее значительно уменьшается.
Поэтому хирургу во время операции приходится быть особенно осторожным. Да и сам искусственный хрусталик в этом случае фиксировать намного сложнее из-за опасности разрыва капсулы. Есть и другие минусы поздней операции. Как бы точно и аккуратно ее ни провели, какое-то количество перезревшей хрусталиковой массы, удаляемой из капсулы, неизбежно попадает в глазную камеру. Это вызывает повышение глазного давления, глаз хуже заживает. Еще опаснее то, что при перезревшей катаракте необратимо мутнеет и капсула хрусталика.
Сегодня подход к хирургическому лечению катаракты коренным образом изменился. Врачи не ждут, пока хрусталик помутнеет совсем. Катаракту оперируют, если есть надежда улучшить качество жизни больного. Например, пациент свободно передвигается по улице, читает газеты, но не способен выполнять тонкую работу, требующую высокой остроты зрения. Значит, у него есть показания к операции.
Сейчас появились новые методы удаления хрусталика, позволяющие проводить операции пациентам с несозревшей катарактой.
Одна из новейших методик заключается в следующем. На роговице делают разрез, больше напоминающий прокол, — менее 3 мм (для сравнения: при традиционном способе длина разреза составляет 15 мм). С помощью ультразвукового зонда мутный хрусталик дробят на мелкие частички, которые быстро отсасывают из капсулы. В некоторых вариациях метода хрусталик дробят струей жидкости, по составу идентичной глазной. Затем через отверстие в роговице свернутый в трубочку мягкий искусственный хрусталик имплантируют в глаз с помощью специального шприца-инжектора. Вся операция длится 4-10 минут.
Новые методики замены хрусталика настолько хорошо отработаны технически, что операции успешно делают пациентам любого возраста: в 80, 90 и даже в 100 лет! Во время операции можно решить целый ряд дополнительных задач по коррекции зрения, например исправить имевшуюся у пациента близорукость.
После операции пациенты достаточно быстро восстанавливаются. Однако даже при успешно проведенной операции больные сталкиваются с одной и той же проблемой: после имплантации обычной монофокальной линзы пациент хорошо видит вдаль, но нуждается в очках для чтения.
Все дело в том, что искусственный хрусталик не способен к аккомодации.
Под аккомодацией понимают способность человеческого глаза одинаково четко видеть предметы, расположенные как на близком, так и на далеком расстоянии. Обеспечивается это благодаря работе цилиарной мышцы и эластичности хрусталика. В состоянии покоя цилиарная мышца расслаблена, волокна цилиарной связки натянуты. Сила натяжения через капсулу передается хрусталику, который приобретает более плоскую форму. Это позволяет фокусировать на сетчатке параллельные лучи от предметов, находящихся вдалеке, и обеспечивает тем самым четкое зрительное восприятие удаленных предметов.
С возрастом ядро хрусталика уплотняется, и его способность к аккомодации снижается. Человеку становится трудно четко различать предметы, находящиеся на близком расстоянии. Обычно это случается после сорока лет. Примерно к шестидесяти годам способность хрусталика к аккомодации утрачивается практически полностью.
Сегодня особо остро стоит проблема создания аккомодирующего искусственного хрусталика.
Недавно разработана технология изготовления мультифокальной линзы — искусственного хрусталика со множеством фокусных расстояний. С помощью таких хрусталиков человек получает возможность хорошо видеть предметы, расположенные на различном расстоянии, и без аккомодации.
Почему многие больные во всем мире не получают адекватного лечения и расплачиваются за это потерей трудоспособности и зрения? Причины в основном экономические: отсутствие необходимого оборудования, недостаток денежных средств. Самая главная задача сегодня — дать возможность всем слоям населения получить хирургическую помощь.
В США делают около полутора миллионов операций в год, у нас в стране — значительно меньше, хотя потребность в замене хрусталика очень велика. С недавнего времени и в России заботу о том, чтобы операция была выполнена на современном уровне, готово взять на себя государство. Так, один из пунктов раздела «Дорогостоящие виды медицинской помощи» национального проекта «Здоровье» предусматривает при катаракте бесплатную хирургическую помощь всем, кто в ней нуждается.
Как далеко находится лекарство от слепоты?
Потеря одного из органов чувств — пугающая перспектива для большинства людей, но для многих это неприятная реальность. Миллионы людей в США сталкиваются с перспективой необратимых изменений в их способности видеть окружающий мир.
Поделиться на Pinterest Во всем мире насчитывается около 39 миллионов слепых людей. Около 82% — люди в возрасте 50 лет и старше.Пока вы читаете этот отрывок, тот факт, что у вас есть способность видеть и читать, может даже не прийти вам в голову. Есть много людей, которым не так повезло. По данным Всемирной организации здравоохранения (ВОЗ), 285 миллионов человек во всем мире имеют нарушения зрения. Из них 39миллионов слепых и 246 миллионов слабовидящих.
Недавний опрос, проведенный Research!America и Альянсом исследований глаз и зрения (AEVR), показал, что американцы рассматривают потерю зрения как потенциально имеющую наибольшее влияние на повседневную жизнь, ставя ее в один ряд с раком, болезнью Альцгеймера и ВИЧ.
из четырех «худших вещей, которые могут с вами случиться».
К сожалению, потеря зрения является распространенной проблемой, будь то из-за процесса старения или развития определенного заболевания. Хорошая новость заключается в том, что 80% нарушений зрения можно предотвратить или вылечить, но что делать с оставшимися 20%?
В этой статье «В центре внимания» мы кратко рассмотрим расстройства дегенерации сетчатки — группу родственных состояний, которые в настоящее время неизлечимы. Какие методы лечения разрабатываются в настоящее время? И могут ли исследователи представить себе будущее, в котором зрение можно будет вернуть всем пациентам?
Чаще всего нарушения зрения вызываются нескорректированными аномалиями рефракции (43%) или катарактой (33%). К аномалиям рефракции относятся миопия (близорукость), дальнозоркость (дальнозоркость) и астигматизм, при которых роговица или хрусталик не имеют идеально изогнутой формы.
Когда нарушение зрения вызвано этими проблемами, лечение часто легкодоступно.
Аномалии рефракции можно исправить с помощью очков, контактных линз или рефракционной хирургии. Катаракта — помутнение хрусталика — обычно лечится с помощью хирургической процедуры, которая является одной из наиболее часто проводимых в США.
В то время как 80 % нарушений зрения можно предотвратить или вылечить, остается 20 % случаев, которые в настоящее время не поддаются лечению. Существует ряд состояний, при которых те, у кого они развиваются, сталкиваются с постепенной потерей зрения, пока их нарушение не станет настолько серьезным, что они фактически ослепнут.
Дегенеративные заболевания сетчатки неизлечимы. Эти заболевания разрушают сетчатку, слой ткани, находящийся в задней части глаза, содержащий клетки, которые обнаруживают попадание света в орган.
Существует ряд таких дегенеративных заболеваний, включая пигментный ретинит, дегенерацию желтого пятна и синдром Ашера. В частности, возрастная дегенерация желтого пятна является основной причиной слепоты в развитых странах.
Медицинские новости сегодня спросил доктора Рэймонда Иецци, офтальмолога-консультанта из клиники Майо, какие самые большие препятствия были на пути к поиску лекарства от нарушений дегенерации сетчатки. Он сказал нам, что ученые и клиницисты сталкиваются со многими проблемами при разработке методов лечения, поскольку в основе этих расстройств лежит несколько сотен биохимических аномалий.
«Кроме того, — добавил он, — хотя существует несколько вариантов дегенерации сетчатки, каждый из них лечится по-разному в зависимости от пораженных клеток, а также стадии и тяжести их дегенерации».
Когда дегенерация сетчатки была впервые диагностирована, все они были обозначены как пигментный ретинит. По мере того, как знания в этой области улучшались, ученым стало известно, что существует множество различных связанных состояний, каждое из которых влияет на разные области сетчатки со своими специфическими механизмами.
У пациентов с хорошим зрением терапевтические подходы могут быть направлены на нейропротекцию или генную терапию.
«Защищая клетки сетчатки от гибели, связанной с лежащим в их основе биохимическим заболеванием, мы можем сохранить зрение среди больших групп пациентов», — объяснил д-р Иецци. «Надежная стратегия нейропротекции предотвратит гибель клеток и потерю зрения, независимо от основной биохимической аномалии».
Генная терапия вместо этого фокусируется на исправлении биохимических аномалий, которые приводят к гибели клеток сетчатки. Этот подход очень специфичен, и д-р Иецци сказал MNT , необходимо разработать несколько сотен методов лечения для лечения всего спектра дегенеративных заболеваний сетчатки.
Глаз поддается экспериментальному лечению, поскольку его легко оперировать и он часто защищен от воспалительных реакций, которые могут нарушить терапию. Благодаря его доступности хирурги также могут легко наблюдать и отслеживать, как продвигаются новые методы лечения.
Доктор Иецци заявил, что в настоящее время в клинике Майо работают над новыми методами выращивания стволовых клеток из собственных образцов тканей пациента; регенеративный подход, который однажды может привести к восстановлению зрения у людей, потерявших его.
Поделиться на PinterestМакулярная дегенерация является основной причиной частичной слепоты среди людей старше 50 лет.
Эмбриональные стволовые клетки можно использовать для создания новых клеток пигментного эпителия сетчатки — клеток, питающих зрительные клетки сетчатки и поглощающих свет, — которые можно трансплантировать в пациент.
Это может замедлить или предотвратить потерю зрительных клеток, и хотя получение новых зрительных клеток из эмбриональных стволовых клеток может привести к еще более выраженным результатам, исследователи обнаружили, что успешно получить эти клетки и трансплантировать их в сетчатку сложнее. .
Ранее исследования на мышах показали, что этот метод работает и что трансплантированные клетки могут полностью интегрироваться в сетчатку, возвращая животным зрение.
В сетчатке есть два типа фоторецептивных клеток – палочки и колбочки. В то время как палочки стимулируются светом в широком диапазоне интенсивности, воспринимая форму, размер и яркость, именно колбочки воспринимают цвет и мелкие детали.
Исследователям удалось получить палочки из эмбриональных стволовых клеток, и в настоящее время они работают над получением колбочек и их трансплантацией животным. Если эти испытания окажутся успешными, следующим шагом могут стать испытания на людях.
Однако без адекватной нейропротекции вновь трансплантированные клетки могут быть так же уязвимы для дегенерации сетчатки, как и клетки, которые они замещают. Эта проблема обусловливает важность исследований в области генной терапии, направленных на коррекцию биохимических нарушений, приводящих к гибели клеток.
Однако существует форма лечения, которая приводит к восстановлению зрения у пациентов с запущенными формами дегенерации сетчатки. Так же, как протезы могут быть использованы для восстановления функций у людей, потерявших конечности, люди, потерявшие зрение, могут использовать протезы сетчатки.
«У пациентов, которые уже потеряли зрение, наша терапевтическая цель — восстановить зрение», — сказал доктор Иецци.
«Это было успешно достигнуто с помощью протеза сетчатки Argus II у пациентов с прогрессирующим пигментным ретинитом».
В прошлом месяце MNT сообщил об истории Аллена Здерада, человека, который был практически слепым, но теперь может различать очертания предметов и людей благодаря своему новому протезу сетчатки.
Доктор Иецци был офтальмологом, который направил г-на Здерада на процедуру, что сделало его 15-м мужчиной в США, получившим устройство, изменившее жизнь. Теперь он может перемещаться в людных местах, таких как торговые центры, без использования трости.
Камера, подключенная к очкам, передает визуальную информацию на небольшой чип, прикрепленный к задней части глаза, через небольшой компьютер, который носится в поясной сумке. Чип может посылать световые сигналы прямо в зрительный нерв, минуя поврежденную сетчатку и предоставляя пациенту визуальную информацию в виде вспышек света.
Д-р Иецци описывает то, что обеспечивает протез сетчатки, как «искусственное зрение», в отличие от любой другой формы зрения, с которой пациенты сталкивались ранее.
Хотя эту форму зрения можно считать базовой по сравнению с тем, к чему привыкли люди с нормальным зрением, для многих людей без зрения это заметное улучшение.
Когда он впервые использовал свой протез сетчатки, г-н Здерад описал искусственное зрение как «грубое, но значительное».
«Хотя эта технология восстанавливает рудиментарное зрение, со временем, когда эти устройства улучшатся, мы сможем лечить пациентов с прогрессирующим заболеванием желтого пятна, таким как дистрофия желтого пятна Штаргардта или возрастная дегенерация желтого пятна», — предположил доктор Иецци.
Будущие перспективы такого лечения действительно захватывающие, но, вероятно, пройдет некоторое время, прежде чем преимущества этого технологического прорыва станут широко известны. В настоящее время устройство стоит 144 000 долларов, а по оценке ВОЗ около 9 долларов.0% людей с нарушениями зрения в мире живут в условиях низкого дохода.
Многим людям посчастливится не заболеть заболеванием дегенерации сетчатки, но это не значит, что их глаза неуязвимы для вреда.
Многие нарушения зрения можно предотвратить, но какие меры можно предпринять, чтобы это произошло?
Поделиться на PinterestРегулярные всесторонние осмотры глаз могут выявить заболевания глаз до того, как они потеряют зрение.
Национальный институт глаз (NEI) предлагает ряд простых шагов, которые можно предпринять, чтобы ваши глаза были настолько здоровы, насколько это возможно:
- Не курить. Курение связано с повышенным риском развития катаракты, повреждения зрительного нерва и возрастной дегенерации желтого пятна
- Соблюдайте сбалансированную диету и поддерживайте здоровый вес
- Правильно мойте руки и контактные линзы, чтобы снизить риск инфекции глаз
- Знать история здоровья глаз вашей семьи. Многие серьезные заболевания глаз, такие как пигментный ретинит, являются наследственными, и знание риска развития таких состояний может повысить уровень доступного лечения
- Пройдите всесторонний осмотр глаз. Единственный способ быть полностью уверенным в здоровье глаз – посетить офтальмолога.

ВОЗ заявляет, что за последние 20 лет во многих странах мира достигнут значительный прогресс в профилактике и лечении нарушений зрения. В 2013 г. Всемирная ассамблея здравоохранения утвердила План действий на 2014–2019 гг. по обеспечению всеобщего доступа к офтальмологическим услугам. Целью этого плана является сокращение предотвратимых нарушений зрения на 25% к 2019 году..
Хотя многие люди считают, что потеря зрения является одной из проблем со здоровьем, которая может оказать наибольшее влияние на повседневную жизнь, отрадно думать, что нарушение зрения больше не является такой абсолютной проблемой, как это было раньше.
Благодаря протезированию люди, потерявшие ноги, могут ходить без посторонней помощи, при этом большинство людей не подозревают, что у них отсутствуют какие-либо конечности. Теперь нетрудно представить себе будущий мир, в котором люди могли бы излечиться от слепоты, а любые намеки на их прежнюю инвалидность оставались бы невидимыми.
Обычные расстройства и заболевания глазных.
либо официально слепые (имеющие остроту зрения с максимальной коррекцией 6/60 или хуже (=20/200) в лучше видящем глазу), либо люди со слабым зрением (острота зрения с максимальной коррекцией менее 6/12 (<20/ 40) в лучше видящем глазу, за исключением тех, кто был отнесен к категории слепых). Нажмите здесь, чтобы увидеть анатомию глаза и принцип его работы.
Нарушения рефракции
Нарушения рефракции являются наиболее частыми проблемами со зрением в Соединенных Штатах. К аномалиям рефракции относятся миопия (близорукость), дальнозоркость (дальнозоркость), астигматизм (искажение зрения на всех расстояниях) и пресбиопия, возникающая в возрасте 40–50 лет (потеря способности фокусироваться вблизи, неспособность читать буквы на телефонной книги, газету нужно держать подальше, чтобы хорошо видеть) можно исправить с помощью очков, контактных линз или, в некоторых случаях, хирургическим путем.
Национальный институт глаза утверждает, что надлежащая коррекция рефракции может улучшить зрение у 150 миллионов американцев.
Узнайте больше об аномалиях рефракции.
Возрастная дегенерация желтого пятна
Дегенерация желтого пятна, часто называемая возрастной дегенерацией желтого пятна (AMD), представляет собой заболевание глаз, связанное со старением и приводящее к нарушению остроты и центрального зрения. Центральное зрение необходимо для четкого видения объектов и выполнения обычных повседневных задач, таких как чтение и вождение автомобиля. AMD влияет на макулу, центральную часть сетчатки, которая позволяет глазу видеть мелкие детали. Различают две формы ВМД — влажную и сухую.
Влажная AMD – это когда аномальные кровеносные сосуды за сетчаткой начинают расти под макулой, что в конечном итоге приводит к утечке крови и жидкости. Кровотечение, подтекание и рубцевание этих кровеносных сосудов вызывают повреждения и приводят к быстрой потере центрального зрения.
Ранним симптомом влажной AMD является то, что прямые линии кажутся волнистыми.
Сухая AMD — это когда макула со временем истончается как часть процесса старения, постепенно ухудшая центральное зрение. Сухая форма встречается чаще, на ее долю приходится 70–90% случаев ВМД, и она прогрессирует медленнее, чем влажная форма. Со временем, по мере того как макула функционирует меньше, центральное зрение в пораженном глазу постепенно утрачивается. Сухая AMD обычно поражает оба глаза. Одним из наиболее распространенных ранних признаков сухой ВМД являются друзы.
Друзы — крошечные желтые или белые отложения под сетчаткой. Они часто обнаруживаются у людей в возрасте 60 лет и старше. Наличие мелких друз является нормальным явлением и не приводит к потере зрения. Однако наличие больших и более многочисленных друз повышает риск развития прогрессирующей сухой или влажной формы ВМД.
По оценкам, 1,8 миллиона американцев в возрасте 40 лет и старше страдают ВМД, а еще 7,3 миллиона человек с большими друзами подвержены значительному риску развития ВМД.
По оценкам, число людей с ВМД достигает 2,9.5 миллионов в 2020 году. AMD является основной причиной необратимого ухудшения чтения и острого или близкого зрения среди людей в возрасте 65 лет и старше.
Узнайте больше о возрастной дегенерации желтого пятна.
Катаракта
Катаракта представляет собой помутнение хрусталика глаза и является основной причиной слепоты во всем мире и основной причиной потери зрения в США. Катаракта может возникнуть в любом возрасте по разным причинам и может присутствовать при рождении. Хотя лечение катаракты широко доступно, барьеры доступа, такие как страховое покрытие, стоимость лечения, выбор пациента или недостаточная осведомленность, не позволяют многим людям получить надлежащее лечение.
Приблизительно 20,5 миллиона (17,2%) американцев в возрасте 40 лет и старше имеют катаракту одного или обоих глаз, а 6,1 миллиона (5,1%) хрусталика удалили оперативным путем. По оценкам, к 2020 году общее число людей с катарактой увеличится до 30,1 миллиона человек.
Узнайте больше о катаракте.
Диабетическая ретинопатия
Диабетическая ретинопатия (ДР) является частым осложнением сахарного диабета. Это основная причина слепоты у взрослых американцев. Он характеризуется прогрессирующим повреждением кровеносных сосудов сетчатки, светочувствительной ткани в задней части глаза, необходимой для хорошего зрения. ДР протекает в четыре стадии: легкая непролиферативная ретинопатия (микроаневризмы), умеренная непролиферативная ретинопатия (закупорка некоторых сосудов сетчатки), тяжелая непролиферативная ретинопатия (блокируется больше сосудов, что приводит к лишению сетчатки кровоснабжения, что приводит к росту новых кровеносных сосудов) и пролиферативной ретинопатии. (самая запущенная стадия). Диабетическая ретинопатия обычно поражает оба глаза.
Риск ДР снижается за счет лечения болезни, которое включает в себя хороший контроль уровня сахара в крови, артериального давления и аномалий липидов. Ранняя диагностика ДР и своевременное лечение снижают риск потери зрения; однако до 50% пациентов не проходят обследование глаз или диагностируют слишком поздно, чтобы лечение было эффективным.
Это основная причина слепоты среди взрослых трудоспособного возраста в США в возрасте от 20 до 74 лет. По оценкам, 4,1 миллиона и 899 000 американцев страдают ретинопатией и ретинопатией, угрожающей зрению, соответственно.
Узнайте больше о диабетической ретинопатии.
Наверх страницы
Глаукома
Глаукома — это группа заболеваний, которые могут повредить зрительный нерв глаза и привести к потере зрения и слепоте. Глаукома возникает, когда нормальное давление жидкости внутри глаз медленно повышается. Однако недавние открытия показывают, что глаукома может возникать при нормальном внутриглазном давлении. При раннем лечении вы часто можете защитить свои глаза от серьезной потери зрения.
Существуют две основные категории: «открытоугольная» и «закрытоугольная» глаукома. Открытый угол — это хроническое состояние, которое медленно прогрессирует в течение длительного периода времени, при этом человек не замечает потери зрения, пока болезнь не станет очень запущенной, поэтому ее называют «скрытным вором зрения».
Закрытие угла может появиться внезапно и быть болезненным. Потеря зрения может прогрессировать быстро; однако боль и дискомфорт заставляют пациентов обращаться за медицинской помощью до того, как произойдет необратимое повреждение.
Узнайте больше о глаукоме.
Амблиопия
Амблиопия, также известная как «ленивый глаз», является наиболее частой причиной ухудшения зрения у детей. Амблиопия — это медицинский термин, используемый, когда зрение в одном из глаз снижено из-за того, что глаз и мозг не работают вместе должным образом. Сам глаз выглядит нормально, но он не используется нормально, потому что мозг отдает предпочтение другому глазу. Условия, ведущие к амблиопии, включают косоглазие, дисбаланс в расположении двух глаз; больше близорукости, дальнозоркости или астигматизма на один глаз, чем на другой глаз, и редко другие заболевания глаз, такие как катаракта.
Если ее не лечить в раннем детстве, амблиопия обычно сохраняется во взрослом возрасте и является наиболее частой причиной необратимого нарушения зрения на один глаз у детей и взрослых молодого и среднего возраста.



Беликова Е.И. 2022. https://belikova.ru/encyclopedia/simptomy_bolezney/slepota/